Recursos para estudiar el examen MIR: Urología
Urología fue la décima especialidad en agotarse en el MIR 2025, con el número 4.124 y ofertando 152 plazas (trece más que el año anterior); se prevé que en 2026 habrá un total de 161 plazas, según CTO Medicina. Este año han sido seis las preguntas de urología en el examen MIR (+1 de radiodiagnóstico). Como curiosidad, este año la primera plaza de urología fue escogida por el número 9, en el Hospital Clínic de Barcelona.
Resumen:
La Urología es una de las especialidades MIR con más peso y cada año suma protagonismo en las preguntas del examen.
Comprender sus conceptos básicos, desde la obstrucción prostática hasta el manejo de infecciones urinarias o la detección de tumores, resulta esencial para optimizar tu preparación.
En este artículo, el Dr. Jordi Peña Lueza comparte su experiencia como urólogo y ofrece una visión práctica sobre cómo abordar el estudio de esta disciplina, destacando recursos de referencia, guías clínicas y aplicaciones útiles para residentes.
Con consejos de estudio basados en la rutina, la comprensión de la fisiopatología y la resolución de preguntas clave, encontrarás una guía clara y efectiva para afianzar conocimientos y acercarte a tu objetivo en el examen MIR.
Recursos para estudiar el examen MIR: Urología
👨⚕️ Jordi Peña Lueza, especialista en Urología

¡Hola compañero! Soy el Dr. Jordi Peña Lueza, especialista en Urología. Si estás leyendo esto, te prometo que verás una visión general, práctica y didáctica del estudio de urología de cara al examen MIR, y también un pequeño apartado por si la quieres escoger en el postMIR.
La urología es una especialidad que, como todas las especialidades médicas, tiene distintas ramas que se están convirtiendo en especialidades por sí mismas. Pero no te preocupes, porque en el examen MIR las preguntas de urología acostumbran a ser asequibles, prácticas y basadas en la repetición de conceptos básicos. "Sota, caballo y rey", podría ser el dicho que resume la práctica diaria de esta especialidad.
Esto lo comprobaremos a partir de las últimas preguntas del MIR.
👨🏻⚕️ Examen MIR y consejos de estudio: ¿qué me ayudó a mi?
📚 El estudio del MIR se resume con una sola palabra: rutina. Personalmente, ignorad las propuestas de las academias que ofrecen cursos desde primero de carrera. Lo importante es concentrar todo tu rendimiento personal en lo que llamaríamos el periodo intensivo (típicamente 7 meses previos al examen). El tiempo de adaptación se calcula que se consigue a las 2-3 semanas, así que al principio se hace duro pero después te acostumbras al día a día.
⏲ No importa cuántas horas estudies, lo realmente importante es que tu estudio sea eficiente. Cuantos más conceptos clave comprendas por hora, más competitivo serás respecto el compañero que se sentará a tu lado el día del examen. Esto se consigue contestando miles de preguntas de exámenes previos y sobre todo de preguntas basadas en conceptos repetidos.
🧠 Un consejo muy importante: no memorices. Entiende la fisiopatología de cada sistema orgánico y su tratamiento. Si intentas memorizar, te vas a frustrar. El examen MIR es un examen dinámico de tiempo limitado en el cual tienes que escoger ágilmente una opción en menos de 1 minuto por pregunta. Aquí la memorización no encaja, excepto ciertas escalas que fácilmente pueden o no aparecer en tu examen.
⏯ Debes conocer tus límites. Es recomendable parar, descansar y coger fuerzas si notas que flaqueas física o mentalmente. Es normal, nos ha pasado a todos. Ajusta la rutina a tu ritmo biológico, tu capacidad de mantener la concentración y tu salud mental. En mi caso y teniendo en cuenta estos ajustes, establecí una rutina que no modifiqué durante todo el curso intensivo y que me reportó un buen resultado a nivel de percentil.
👩🏻⚕️👨🏻⚕️ Pero cada persona y cada convocatoria es un mundo y el azar queramos o no también juega su papel. Pero el objetivo final es reducir el factor del azar en el resultado de nuestro examen y que todas nuestras horas invertidas se vean reflejadas en el resultado final.
💪🏻 No olvides que es una carrera de fondo, no una carrera de 100 metros. Y sobre todo, si necesitas apoyo psicológico no dudes en pedirlo, te lo pueden ofrecer ciertas academias o directamente la Fundación Mutual Médica a través de su servicio de atención psicológica gratuita al estudiante y al médico en formación (SAPEM).
📚 Especialidad de urología: libros y apps imprescindibles
Para el estudio del MIR
- No es necesario consultar fuentes alternativas de las que os pueden ofrecer las academias o apuntes.
En la práctica del urólogo o urólogo en formación
Son de referencia mundial las guías clínicas de la European Association of Urology (EAU). A nivel práctico recomendaría dos aplicaciones.
- 💡Para las nociones básicas quirúrgicas recomiendo encarecidamente la aplicación Atlas quirúrgico de urología práctica, sobre todo durante la residencia.
- 💡Para las urgencias es muy útil la aplicación Urología práctica también durante la residencia (ambas disponibles en Play Store).
- 💡A nivel más teórico son de referencia los tomos de Campbell-Walsh-Wein Urology.
✅ Urología: conceptos clave que debes conocer sí o sí
Lo más importante es ponerte en la cabeza del examinador de cada especialidad. Las preguntas urológicas se basan mayoritariamente en conceptos repetidos. La resolución de la urgencia urológica es muy recurrida.
En este sentido piensa que la urología es la fontanería del cuerpo humano. La permeabilidad urinaria y derivación urinaria es de lo más importante. También hay mucho predominio de oncología urológica:
- Obstrucción benigna de próstata (también conocida como hiperplasia benigna de próstata). Es importante diferenciarlo del cáncer de próstata. El diagnóstico, manejo y tratamiento tanto conservador como quirúrgico son fundamentales. Como última etapa de este proceso se produce una retención aguda de orina en la cual la derivación urinaria (sondaje vesical o cistostomía) siempre será la respuesta adecuada.
- Infecciones del tracto urinario. Muchas veces relacionada con los cálculos urinarios. Resolución de los cólicos complicados, sobre todo en pacientes con signos de sepsis y fracaso renal agudo, y su manejo urgente, en el que la derivación urinaria con catéteres y antibioterapia serán una buena respuesta. Aquí también entran las cistitis y pielonefritis. Hay que recordar que la bacteriuria asintomática sólo se trata en determinados casos.
- Cáncer de próstata. En auge por la gran cantidad de modalidades de tratamientos, tanto quirúrgicos como no, y la adyuvancia en casos avanzados en el cual hay muchas novedades, pero esto también lo pueden preguntar en oncología médica u oncoradioterapia. Fundamental el diagnóstico (PSA, tacto rectal, resonancia y biopsia transperineal), como el tratamiento adaptado al paciente (conservador, activo con cirugía y/o multimodal) y al estadío (local, localmente avanzado o avanzado).
- Cáncer renal. Diagnóstico muchas veces mediante hallazgo casual por TAC, y tratamiento si no hay contraindicaciones con nefrectomía parcial tal como recomiendan las guías.
- Cáncer vesical. Muy fácil de preguntar en paciente que presenta hematuria monosintomática con antecedentes de tabaquismo activo o pasivo. Muy fácil de preguntar vinculado a una imagen ecográfica o hasta de TAC.
- Miscelánea (menos frecuente). Cáncer testicular (Paciente joven, marcadores y anatomopatología según si es seminoma o no seminomatoso). Litiasis. Priapismo. Torsión testicular. Tumor de vías urinarias. Disfunción eréctil. Reflujo vesicoureteral.
✍ Preguntas de urología del examen MIR
¿Acertarías esta pregunta de urología del examen MIR?
Hombre de 51 años que consulta preocupado por la aparición de leve goteo postmiccional. Tiene dislipemia, hipertensión arterial y alopecia androgénica incipiente. Sigue tratamiento con simvastatina, enalapril, minoxidil y dutasteride. Padre y hermano fallecidos por cáncer de próstata. En los reconocimientos de salud laboral realizados en 2.021 y 2.023 se observa PSA de 0,3 y de 3,8 ng/mL respectivamente (valores de referencia <4 ng/mL). Una RMN prostática multiparamétrica muestra una próstata de 55 mL y en secuencia T2un nódulo hipointenso moderado y homogéneo de 1,7 cm, con restricción de la difusión y realce precoz en perfusión en el límite entre el estroma fibromuscular anterior y la zona transicional del lóbulo izquierdo prostático. Repetimos una nueva determinación de PSA 3,5 ng/mL. A la vista de estos hallazgos, ¿qué recomendación propondría al paciente como la más adecuada?:
- Biopsia prostática transrectal sistemática.
- Iniciar un tratamiento antibiótico empírico durante 10 días y realizar una biopsia prostática sistemática al finalizar.
- Tranquilizar al paciente, ofrecer tratamiento sintomático alfa-bloqueante y seguimiento.
- Biopsia prostática transperineal sistemática y dirigida mediante fusión de imágenes RMN.
Respuesta correcta: Biopsia prostática transperineal sistemática y dirigida mediante fusión de imágenes RMN.
✅ Comentario de Jordi: Aunque el PSA marque por debajo del rango establecido (<4ng/ml), el paciente toma dutasterida, que acostumbra a bajar artificialmente el PSA a la mitad.
...¿o esta?
Hombre de 53 años acude a urgencias por anuria de 48 horas de evolución. Presenta dolor abdominal difuso de varios días de evolución que no se modifica con la posición ni con la ingesta. No ha presentado fiebre pero sí náuseas con dos vómitos escasos biliosos sin productos patológicos, además de estreñimiento. En la analítica sanguínea presenta ligera leucocitosis con desviación izquierda, creatinina 7 mg/dL con FG<15mL/min, sodio 132 mmol/L y potasio 5,7 mmol/L, bilirrubina 1 mg/dL, amilasa 100 U/L, AST 30 U/L, ALT 45 U/L, fosfatasa alcalina 60 U/L, y GGT 70 U/L. En el sedimento de orina únicamente se evidencian 5-10 hematíes/campo y leve piuria. En la ecografía abdominal dilatación pielocalicial y ureteral moderada-severa bilateral con leve disminución del parénquima en el riñón izquierdo y múltiples imágenes hiperecoicas con sombra acústica posterior en todos los grupos caliciales así como en el uréter proximal izquierdo. ¿Cuál es la actitud más correcta a seguir?:
- Analgesia iv y sueroterapia intensiva para forzar diuresis.
- Diuréticos intravenosos.
- Derivación de la vía urinaria de forma bilateral.
- Solicitar TC ante la sospecha de abdomen agudo.
Respuesta correcta: Derivación de la vía urinaria de forma bilateral.
✅ Comentario de Jordi: Un claro caso de prioridad de derivación urinaria ante un caso de uropatía obstructiva.
...¿y qué tal esta?
Hombre de 72 años, remitido a consulta tras un hallazgo en una TC solicitada para el estudio de molestias digestivas inespecíficas. Se objetiva una lesión sólida, exofítica, heterogénea, con realce intenso tras la administración de contraste, de 4,9 cm de diámetro, dependiente del polo inferior renal derecho; en el riñón izquierdo litiasis piélica de 3 cm que condiciona hidronefrosis y atrofia cortical. Antecedentes personales de hipertensión, sobrepeso (mide 1,6 m y pesa 95 kg) y fumador habitual. En la analítica destaca creatinina sérica de 1,5 mg/dL. Señale de entre las siguientes opciones de tratamiento la que considera más adecuada:
- Nefrectomía bilateral, con suprarrenalectomía derecha y linfadenectomía retroperitoneal.
- Nefrectomía parcial derecha.
- Biopsia percutánea. Quimioterapia neoadyuvante y nefrectomía radical derecha.
- Nefrectomía radical derecha. Inmunoterapia adyuvante.
Respuesta correcta: Nefrectomía parcial derecha.
✅ Comentario de Jordi: Aunque resulte confuso el cálculo obstructivo, el examinador afirma que presenta atrofia cortical, es decir, que hablamos de una obstrucción crónica que actualmente no presenta requerimiento de derivación urinaria urgente. Tampoco presenta la opción de contestarlo, el examinador realmente quiere que conozcáis el tratamiento estándar del cáncer renal localizado.
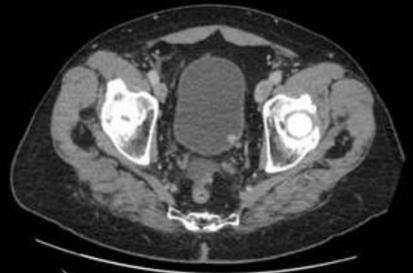
....¿y finalmente acertarías esta?
En relación con la patología que se observa en la imagen:

es correcto que:
- Su forma de debut más frecuente es un sangrado menstrual.
- La citología no es útil en el diagnóstico pero sí en el seguimiento.
- Es más frecuente en mujeres jóvenes.
- Uno de los factores de riesgo más importantes es el tabaco.
Respuesta correcta: Uno de los factores de riesgo más importantes es el tabaco.
⌚ Me interesa la urología: ¿me recomiendas escogerla? Un día a día en la vida de un urólogo
No hay nada mejor que revisar las decisiones vitales que has tomado a lo largo de tu vida. ¿Fueron las adecuadas? ¿Las cambiaríais a fecha de hoy? Si volviera al pasado y estuviera en el Ministerio escogiendo plaza, volvería a escoger urología con total rotundidad. No hay otra ninguna especialidad que te ofrezca la versatilidad que te ofrece la urología moderna a día de hoy.
Si estás interesado en la cirugía, el auge de las nuevas tecnologías, el binomio público y/o privado, conservando en todo momento el valioso vínculo médico-paciente, esta es tu especialidad.
Urología es una especialidad que disfruta de cierta independencia ya que ofrece un tratamiento integral del sistema urinario. El diagnóstico, el tratamiento quirúrgico y el seguimiento lo realizamos nosotros. El paciente tiene a su urólogo y el nivel de confianza que el paciente deposita en ti tiene un valor incalculable. Un valor que te anima cada mañana a levantarte de la cama con ganas de trabajar. Podríamos decir que el vínculo es similar al del médico de familia pero con el añadido quirúrgico y hospitalario.
Es importante no solo disponer de conocimientos teóricos (ya demostrados sobradamente para llegar hasta la residencia de urología), sino que durante la residencia desarrollarás habilidades manuales que se convertirán en hábitos a base de repetirlos y aprender de tus errores y tus aciertos.
En el campo quirúrgico se está viviendo un cambio de paradigma en el que la cirugía abierta está cada vez más desfasada (y más compleja de aprender en los hospitales actuales), en sustitución de nuevos modelos quirúrgicos robóticos para cirugía abdominal y también para cirugía endourológica.
Cierto es que hay ciertas especialidades que corren el riesgo de ser potencialmente sustituidas por inteligencia artificial. No hay buscador inteligente que pueda lidiar con la incertidumbre y la fragilidad de la salud como lo hacemos nosotros. Por eso es cada vez más importante desarrollar conocimientos de comunicación e inteligencia emocional.
Oncología urológica, andrología, endourología, cirugía robótica, fertilidad masculina, litiasis, urología reconstructiva y funcional, y trasplantes renales son algunos de los caminos que puedes tomar según tus preferencias, así que nunca te vas a aburrir.
¡Os animo a emprender este camino que yo nunca me arrepentí de tomar!
🤓¿Te has quedado con ganas de más?
No te pierdas los siguientes artículos relacionados con el estudio del MIR:
Sobre el autor:

El Dr. Peña Lueza se graduó en Medicina por la Universitat de Lleida. Durante esta etapa escribió el libro Quaranta anys després sobre la historia de la Facultad de Medicina de su ciudad.
Especializado en Urología vía MIR, actualmente ejerce en el Clinic Lleida y ha publicado numerosos artículos en revistas internacionales con el grupo de investigación PACE Group de la Universidad de la Sorbona de París.
Perfil Linkedin del Dr. Peña Lueza
Perfil Instagram del Dr. Peña Lueza
Copyright de la foto: Freepick

